玻尿酸填充劑(hyaluronic acid filler=HAF)可說是在微整形領域裡最重要的填充劑,從14年前開始入門打Restylane開始,瑞斯朗牌的HAF到現在仍是我門診諮詢或操作上的首選。雖然有更多更好的HAF,產品面上進步了,醫師施打技術面進步了,但是HAF的角色近年來卻很明顯的弱化了, 原因包括來自韓國、甚至是台廠低價HAF的挑戰,還有非玻尿酸陣營的填充劑,如聚左旋乳酸、伊蓮絲、精靈針、熊貓針等的競爭,HAF因被冠上不持久、不長膠原蛋白等稱號,自然在銷售上就如滾雪球般的跌落。在這樣的環境變遷下,一些平常很愛用的品牌,例如瑞斯朗女神動態玻尿酸、喬雅登Volux、緹奧希玻尿酸等,即使怎麼解釋一分錢一分貨、技術面、服務面、品牌面等形成價格因素,有時候仍會顯得尷尬,例如以下對話:
"玻尿酸有必要打這麼貴嗎? 我上次在xx診所問才xxxx元,而且聽說又不持久。"
難道玻尿酸填充劑已無法回到往日光景了嗎? 我認為現在不會,以後也不會,為什麼? 因為不論從學理上或技術上考量,HAF仍是所有填充劑中最安全可靠,施打自由度最高,而且也是最持久的@.@。隨著經驗的累積,有時候光用眼睛一看就知道這位客人在那個位置有打過HAF或是某種填充物,但是一問之下有時候就會聽到:
"這很多年前打了,應該完全消失了吧!"
另外一種狀況是客人是有自覺的,例如:
"我眼下這2條,打了3-4年多了,很不喜歡,但是為什麼這麼久了還是在? 不是說效果只會維持9個月到1年嗎?"
喜歡的人跟不喜歡的人的感受會完全相反,但是發生的事是一樣的,這就是在反映HAF的持久度。這一篇文章(Dermatol Surg. 2022 Apr 1;48(4):401-405. doi:10.1097/DSS.0000000000003380. Hyaluronic Acid Filler Incidentally Found During Mohs Micrographic Surgery: Observations in 36 Patients Regarding Skin Depth, Degradation Size, and Estimated Persistence Time.)觀察到HAF在皮下的維持期可以長達10年以上,這會帶給我們很大的啟發,也印證了我多年來的經驗也曾看過7年及10年前打的HAF仍清晰可見,只是在診所實務上,很難有機會去做組織切片來驗證HAF的持久性。
本文的研究動機最早是由Richard G. Bennett在2005發表的病例報告一個切除嘴唇基底細胞癌手術的檢體中意外發現Restylane竟然在皮下存在23個月未完全消失(Dermatol Surg. 2005 Oct;31(10):1366-9. doi: 10.1111/j.1524-4725.2005.31223),在那個年代的觀念玻尿酸只能在皮下6-9個月就會被完全吸收代謝,因此,作者Richard G. Bennett就有興趣想繼續深入研究這現象難道只是個案嗎? 於是他做了一個超大型的研究,搜集了2003-2021年這18年的期間共25,690件皮膚癌(基底細胞癌=BCC或鱗狀上皮細胞癌=SCC)檢體,去逐一檢視有沒有可能「意外」發現HAF,結果在其中37件檢體「不意外」的發現有HAF的蹤跡,接著再將這些檢體所屬的病人找回來重新調查他們的HAF究竟是在什麼時候打的,結果如下:

這些被大規模篩檢而發現HAF伴隨的檢體,調查後發現玻尿酸注射的時間點從不到2個月到10年以上都有,為什麼37例中只有20例列入時間軸呢? 因為有17個人想不起來最後一次施打的時間點,也沒查到醫療紀錄,甚至其中還有一個人否認打過玻尿酸。至於這位打完撐了10年又9個月這麼久的HAF究竟是什麼牌子的玻尿酸,經過作者查證,很幸運的這位病人有正式的醫療紀錄,答案是"Restylane Perlane"。
研究發現於皮下長存的HAF,有59.4%在皮下脂肪層,31.3%在皮下/肌肉層,只有9.4%在真皮層。分佈範圍有唇、鼻、法令紋、眉間、眼外眥、下巴等位置,以上唇37.8%佔最多,如果上下唇一起算的話則佔了48.6%。
Dermatol Surg. 2005 Oct;31(10):1366-9.
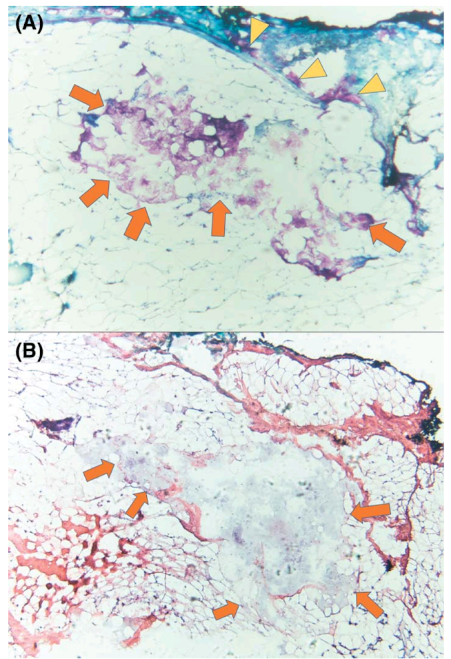
HAF在皮下的組織切片型態如上圖,在標準的H&E染色下型態為nonencapsulated amorphous dull blue masses,為淡藍色,在甲苯胺藍(toluidine blue=TB)染色下為nonencapsulated amorphous bright magenta masses,為亮紫紅色。在病理學上encapsulated mass通常在形容一些良性或惡性腫瘤或一些嚴重的局部發炎感染如膿瘍abscess,身體的免疫系統能將其辨識出來而形成一個纖維化的膜將病灶局部化; 而nonencapsulated mass通常代表著身體對該外來物質或疾病或腫瘤的免疫反應是惰性的(inert),如HAF,或失能的(dysfunctional),如amyloidosis,或良性的脂肪瘤(lipoma)。病理學上在形容一個mass有一些常用語言,例如solid、cystic、solid-cystic hairy、papillary、osseous、cartilaginous、caceous等,如果不符合這些特定形狀的話則會用amorphous來形容。
Dermatol Surg. 2022 Apr 1;48(4):401-405.
如果細看HAF在皮下脂肪層的型態可以發現空泡化的結構(vacuolated),如上圖橘色箭號標示範圍,在TB染色下會比H&E染色下來的清楚,而在真皮層中的HAF,如上圖黃色箭頭標示處,就沒有這種空泡化結構,推測HAF雖然是外來物,但是它表現的就像真的細胞外基質一樣包覆著脂肪細胞,這些空泡應該是被HAF包覆而突顯出的脂肪細胞原始構造,真皮層的細胞少、胞外基質緻密,因此HAF在真皮層就看不到這種空泡化。
Dermatol Surg. 2022 Apr 1;48(4):401-405.
上圖為37件檢體的其中一件從嘴唇切下來的基底細胞癌(basal cell carcinoma=BCC)檢體在TB染色下的樣子,黃色線以下為之前注射的HAF(vacuolated),白色線以上範圍為BCC,這張組織切片還有一個很微妙的現象,就是下半部的HAF好像形成一個壁壘,進而阻止了上半部的癌細胞往下侵犯的樣子。另外TB染色在國外較常被用來診斷BCC,因為TB染色可以將BCC的癌細胞周圍的基質染成漂亮的紅色,是因為癌細胞分泌acid mucopolysaccharide (包含HA)被藍色鹼性的TB所染成,稱為異染色metachromasia,TB染劑的異染現象從原本的藍色→紫紅色→紅色,會依照結合的程度、形成dimer或polymer等而有不同的顏色變化。TB是一種藍色的鹼性染色劑,常用於動植物切片的常規染色,帶正電的染劑可與組織或細胞中帶負電的陰離子酸性物質結合,結合位置為glycosaminoglycan(=GAG)的羧基(carboxyl group)或硫酸根(sulfate group),調整TB的pH值還能分別區分出染出紫紅色的物質是sulfated(pH<4)還是nonsulfated(pH>4) GAGs,像玻尿酸就是一種廣泛存在於真皮層的nonsulfated GAG,所以要觀察HAF或基底細胞癌的型態,TB染色會設定在pH=7左右。而病理學上除了BCC以外,還可應用於染一些會分泌黏液的腫瘤並觀察其型態,例如皮膚還有一種罕見的原發性腺癌叫做primary cutaneous adenoid cystic carcinoma,癌細胞分泌的基質也可能含HA及dermatan sulfate等GAGs,除了顏色可能介於紫紅色或紅色以外,型態也是一種觀察重點,如上圖中上半的癌細胞周圍跟下半HAF都具有HA,都能被TB染成紫紅色或紅色,但是圍繞在癌細胞周圍的紅色反映的是癌細胞分泌出去的物質,顯的平均、厚薄一致、圍繞著癌細胞分佈的樣子,而HAF的紫紅因為不是細胞分泌的,故不會圍著細胞跑,而是反映出它膠體的不規則形狀。
TB染色在病理學上也會應用於診斷神經元的細胞核尼氏小體(Nissl's body),或觀察肥大細胞(mast cells)的分佈及軟骨的型態如潮線(tide lines)等用途。
研究還指出一個重點,就是這些內含HAF時間長短不一的37件檢體中,幾乎沒有明顯的發炎(inflammatory)反應、肉芽腫(granulomatous)反應、或纖維化(fibrosis),其他研究*也支持這樣的現象,顯示出HAF獨特的免疫惰性(immunologically inert),而這個特性對於會長時間住在皮下的填充物而言特別重要,填充物誘發越強烈的免疫反應或誘發反應的時間越久,則日後產生鈣化、纖維化或次發性感染的機會就越高,不可不慎。因此,在誘發免疫反應的條件上,沒有任何一種填充物是比的上HAF安全的。而且,在不同時間點,皮下的HAF型態上是一致的,都是呈團塊狀的,隨著時間推進,HAF在組織中不會切割、壓迫、浸潤、或形成莢膜(non-encapsulated)。綜上所述,光就填充劑材質的人體相容性與安全性而言,我們在挑選填充物的時候,不論是客人端或是醫師端,其實沒有道理不將玻尿酸列入優先考量。而且,HAF一點都不會不持久。
「想了解更完整的結構美學重建?歡迎造訪我們的全新官網:
究美診所」
註: * Duranti F, Salti G, Bovani B, Calandra M, et al. Injectable hyaluronic acid gel for soft tissue augmentation. A clinical and histological study. Dermatol Surg 1998;24:1317–25.
Lemperle G, Morhenn V, Charrier U. Human histology and persistence of various injectable filler substances for soft tissue augmentation. Aesth Plast Surg 2003;27:354–66.
TranC,CarrauxP,MicheelsP,KayaG,etal.Invivobio-integrationof three hyaluronic acid fillers in human skin: a histological study. Dermatology 2014;228:47–54.
留言
張貼留言