在診間的諮詢服務中,常常被諮詢師或客人問到2個矛盾的問題:
Q1: "醫師,我上個月埋完線,效果不是很滿意,我可以打電波或音波融掉這些線嗎?"
Q2: "醫師,我2週前有埋線,剛埋完很滿意,但是怎麼才2個禮拜就又掉下來,我可以加做電音波強化效果嗎?
上述2種狀況下客人的訴求是完全相反的,但是很神奇的是他們想做的事情是一樣的,就是"追加電音波"。我也確實看到一些文章或影片告訴你,音波的溫度不足以達到融掉PDO線材的融點(110度),因此埋完線後打音波沒問題,例如下列這篇文章的這一段話: 「It is also intended to clarify that the PDO wire can be used in conjunction with the microfocused ultrasound technology, since the melting point of the PDO polymer is between 110° and 115°C. 」J Cosmet Dermatol. 2023 Mar;22(3):804-809.
我接下來會列舉3篇文章來分析埋完線沒多久就打電音波的合理性。第一篇「Li K,Zhang X,Guo W,Wang L,Wang G,Gao L. Polydioxanone thread insertion in combination with radio frequency treatment does not exhibit synergistic efficacy: Animal study with pigs. J Cosmet Dermatol.2022;21:3479–3485. doi:10.1111/jocd.14651」用小豬做實驗,使用常用的PDO埋線(25G needle, 9 cm USP 4–0 barbed PDO threads)以間隔1公分的間距打在小豬的肚皮,左右邊各打一排並做記號,2周後在其中一排埋過線的皮膚施打RF單極電波(不明廠牌,能量7.0 J/cm2),並在沒埋過線的皮膚也同樣施打RF單極電波,接著在第6周跟第12周分別做4組的皮膚切片(未治療組; 純埋線組; 純電波組; 埋線+電波組)。
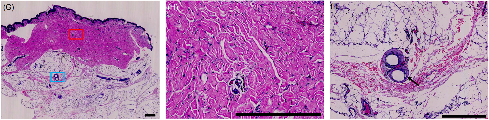
上圖GHI為純埋線組(6周),可以發現PDO線埋在皮下脂肪內,但是很神奇的是線材上方的真皮層的膠原蛋白束就像打電波一樣變厚了,排列也變緊密,皮下脂肪層的脂肪細胞萎縮、數量變少與間隔間隙變大的現象不像電波打完那麼明顯,只有線材周圍有出血及一些發炎細胞浸潤。
上圖JKL為埋線完2周後接著打RF電波(6周),可以發現真皮層的膠原蛋白束變厚,排列緊密,但是皮下脂肪層伴隨產生脂肪壞死及結節性脂肪膜炎(nodular panniculitis)。
上圖ABC為純電波組(10周),可以發現真皮層的膠原蛋白束持續變厚,排列更緊密(相對於對照組),皮下脂肪層相較於第4周的萎縮,在第十周時反而變厚,來自脂肪間隔(interlobular septa)像蜘蛛網一樣增厚擴張。
上圖DEF為純埋線組(12周),真皮層的膠原蛋白束厚度與第6周差不多,皮下脂肪層像打過RF電波一樣變厚,一樣來自脂肪間隔像蜘蛛網一樣增厚擴張。
J Cosmet Dermatol.2022;21:3479–3485.
上圖GHI為埋線完2周後接著打RF電波(10周),可以發現真皮層的膠原蛋白束變厚,排列緊密,但是皮下脂肪層脂肪壞死及結節性脂肪膜炎(nodular panniculitis)程度已緩和,一樣可以觀察到脂肪間隔像蜘蛛網一樣增厚擴張。
J Cosmet Dermatol.2022;21:3479–3485.
上圖左為運用影像軟體對前述檢體的真皮層膠原蛋白束截面績做取樣及統計分析,可以發現施打RF電波後4周到10周膠原蛋白束增厚的時序趨勢很明顯,而單獨做PDO埋線或合併RF電波時則是在6周時膠原蛋白束最厚,第12周時開始有些微減少趨勢。上圖右一樣運用影像軟體分析各檢體的膠原蛋白總面積對比真皮層面積的比值,經過治療後不管是真皮層的膠原蛋白束變厚或是皮下脂肪層的纖維中隔變厚或是兩者都有,都會導致檢體的膠原蛋白總面積增加,比值增加,對照組的基礎值為0.46,可以發現不管做什麼治療,這個比值在4~12周都有將近一倍的增加,代表皮下從真皮到皮下脂肪的膠原區域的體積成長一倍。
小豬皮做的實驗可信嗎?以組織學的角度看跟人類的皮膚很像,這個研究也是純組織學觀點,沒有任何特殊染色,免疫染色等分析。想要用正規的實驗方法對美女們做這樣的實驗談何容易,但是實務上搞不好很多客人已經被當白老鼠了。總之,這個研究最重要的發現應該是PDO埋線完2周後施打RF電波不會有1+1≧2的效果,反而可能會誘發脂肪壞死及結節性脂肪膜炎(nodular panniculitis)的問題。
令我感到意外的是為什麼埋在皮下脂肪層的PDO線材都沒碰到真皮層裡面,竟然可以增生上方真皮層的膠原蛋白束,難道這就是cytokine的影響力嗎?下面一篇的文章就會提到以下的觀念,因為皮下脂肪層生長的膠原蛋白會往上長去拉住真皮層。如果不考慮合併治療,純PDO埋線做簡單平行埋在皮下脂肪層的增生膠原蛋白效果幾乎跟RF電波沒什麼差別,至少12周內的結果是差不多的。時間再拉長一點,如果觀察1年呢?雖然純PDO埋線第12周的增生趨勢有略減下來,總之可想而知PDO埋線對皮下組織的影響範圍不會僅限於線材的截面積,這個現象與接下來介紹的單獨PDO埋線追蹤48週組織學時序性變化的實驗結果類似(J Cosmet Dermatol. 2019;18:885–891.)。
這就要參考另一篇研究「Yoon JH, Kim SS, Oh SM, Kim BC, Jung W. Tissue changes over time after polydioxanone thread insertion: An animal study with pigs. J Cosmet Dermatol. 2019;18:885–891.https://doi.org/10.1111/jocd.12718」單獨探討PDO埋線對於皮下組織一年內的組織學變化(一樣是小豬實驗,小豬皮跟人皮很像嘛),本篇的研究時間夠久,一樣可以看到皮下脂肪纖維中隔像蜘蛛網一樣增生,但是更重要的發現是這種在皮下脂肪層內圍繞著PDO線材像蜘蛛網狀的纖維組織增生,不會單獨侷限在PDO線材周圍,這種增生的觸手會設法去往真皮層生長,最後連接到真皮層下緣,如下圖:
上圖左是PDO埋線12周(Masson trichrome染色,100X放大倍率),圖中央2個空洞就是PDO線的橫切面,Masson特殊染色會將成熟的膠原蛋白組織染成深藍色,可以觀察到沿著PDO線網狀生長的膠原蛋白組織像蜘蛛網一樣,往上延伸接住真皮層下緣。上圖右是PDO埋線24周(H&E染色,100X放大倍率),圖中央2個空洞可以觀察到這個時間點PDO線已裂開,或48周線材消失後,這些蜘蛛網狀纖維組織增生仍然持續存在,而且沿著網狀纖維分布的脂肪細胞是比較萎縮的,如下圖中央連接到真皮的紅色的纖維束兩側的脂肪細胞是比較萎縮的:
意味著PDO埋線可以強化皮下脂肪層的結構並且有消脂作用。但是,48周後仍持續看到foreign body granuloma異物肉芽腫(如下圖黑色箭頭處),當這種異物反應持續不消退或位置較表淺時,可想而知可能會感覺到硬塊結節。所以,三不五時就在臉上埋線的人,可想而知持續性異物肉芽腫造成的凹凸不平機會就很高,如下圖為埋線48周後(A)埋線處與(B)未埋線處的皮下組織收縮程度的對比(A=2822μm vs B=3675μm),代表一條PDO埋線埋在皮下脂肪層將近1年的時間後會將皮下脂肪往表皮方向縮短將近0.1公分的距離,沒埋線的地方就沒有這樣的變化:
所以有時候看到有些有做埋線的醫師拍影片信心滿滿地說他們家做的埋線技術有多好或線材品質有多好之類的,「絕對」不會凹凸不平,是真的嗎?他們真的知道自己在說什麼嗎?還是眼力需要鍛鍊? 畢竟組織學的證據告訴我們,線與線之間不可能沒有間距,所以這樣0.1公分上上下下的波浪狀起伏就是一次PDO埋線1年後應有的表現,肉眼看不出來,那當然就皆大歡喜; 要是遇到龜毛的或眼力特別好的客人或甚至是蟑螂,那就很麻煩了。
最後再簡介這一篇Miranda CR. Association of PDO threads and technologies— Facial treatment protocols. J Cosmet Dermatol. 2023;22:804-809. doi:10.1111/jocd.15530,本篇主要做一些PDO埋線跟光電雷射等儀器合併治療的文獻回顧跟2個案例報告。文獻回顧的部分簡單說就是打一些表淺非汽化雷射跟脈衝光,基本上跟PDO埋線不衝突,如果是汽化式雷射,因為皮下水腫可能影響埋線的穩固性,建議要間隔。至於電音波呢?作者認為RF電波或MFU音波與PDO埋線不需間隔,只要先做完電音波再立刻埋線即可。他舉2個案例如下:


上圖左是40歲女性,上圖右是43歲女性,她們都是左右半邊臉各打海芙150發且左右半邊臉各埋4條PDO線,只是左邊這位是先音波後埋線,右邊這位是先埋線後音波,都在同一天做,2位都追蹤2個月看起來都有效果沒什麼問題。作者的建議是先打電音波再埋線,如果真的已經先埋線了才要打音波也沒關係(電波不建議),間隔15天再打,且音波對皮下組織加熱不到110度所以不足以融掉PDO線材,即使像上圖右這位埋線完馬上打音波似乎也還好沒事,那為何上圖右這位小姐沒事呢?是不是真的沒事?沒做組織切片怎麼知道?我相信她是真的沒事,因為她打的是音波,音波的加熱方式跟第一篇實驗用的電波是不同的,而且他打的發數也不多,所以即使發生了脂肪壞死或結節性脂肪膜炎,範圍應該也不大,也可能發生了問題但是沒人看的出來。
其實「建議先電音波再埋線」和「音波對皮下組織加熱不到110度所以不足以融掉PDO線材」這2個看法是矛盾的,因為如果電音波對皮下組織加熱不足,那何必建議先電音波再埋線?作者肯定還是懷疑電音波有潛在機會影響到皮下PDO埋線,只是在2022年的時候沒什麼足夠證據、說不出所以然,所以很跳TONE的用物理學的語氣說出「音波對皮下組織加熱不到110度所以不足以融掉PDO線材,故兩者可以安全地併行」這樣的結論,但是這個結論卻足以回答客人常問的問題。
有了上述3篇文章的觀念,我們便知道該如何回答客人常問的這2個問題:
A1: 電波對皮下組織加熱溫度頂多到60度,不到線材的融點110度,所以不足以融掉PDO線材。
A2: 依據現有的動物實驗證據,PDO埋線完2周後施打RF電波不會有1+1≧2的效果,反而可能會誘發脂肪壞死及結節性脂肪膜炎(nodular panniculitis)的問題。
「想了解更完整的結構美學重建?歡迎造訪我們的全新官網:究美診所 」



留言
張貼留言